欢迎访问辽阳市中心医院新城医院!
欢迎访问辽阳市中心医院新城医院!
详细内容
一枚误吞的枣核,在胃壁深处“筑巢”引发脓肿,导致持续剧痛和发热。辽阳市中心医院新城医院内镜中心运用超声内镜引导下穿刺引流术,以微创之法精准“排雷”,术后患者疼痛立消,当日回家休养。
.jpg)
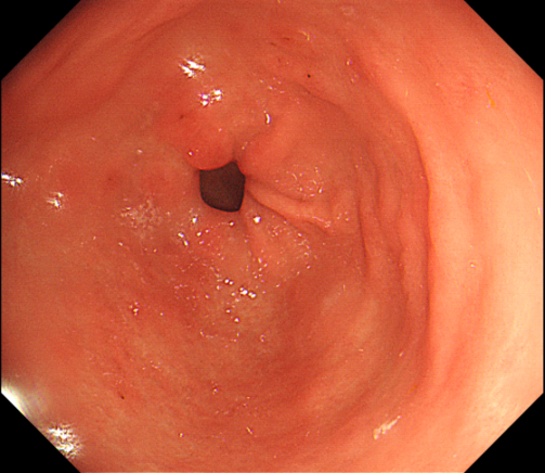
胃镜:胃窦大弯隆起
.jpg)
超声内镜:胃壁第2、3层内见一椭圆形混合回声
5天前,王女士误服枣核,之后出现上腹部隐痛,进行性加重,并伴有发热、恶心等症状,自服多种胃药治疗,症状未改善。来院就诊行胃镜检查提示:胃窦大弯侧见一约1.5cmX1.0cm的广基隆起,表面粘膜光滑。进一步行超声内镜扫查显示:胃壁第2、3层内见一椭圆形混合回声区域,边界清晰,切面大小约1.0cmX0.5cm,结合病史,确诊为胃脓肿。
胃脓肿是胃部感染引发的局限性化脓性病变,其起病隐匿但进展迅速。内科保守治疗疗效欠佳,还易复发;外科手术治疗则创伤大、患者恢复慢。内镜中心于大海主任带领团队综合评估王女士的病情,建议王女士家属采用超声内镜引导下穿刺引流术——通过将脓液引流至胃内,实现治疗目的。王女士家属同意立即进行微创治疗。
于主任带领团队在超声内镜的定位下,穿刺针避开大血管,精准刺入胃脓肿腔内,抽出脓液约0.5ml;并留置引流管持续引流。术后王女士腹痛等症状马上缓解。回家口服消炎药一周后来院复查,胃镜显示手术部位恢复正常。
.png)
超声内镜引导下穿刺:脓液流出
.png)
一周后复查胃镜:恢复正常
此次手术的成功,不仅是新城医院内镜中心在微创治疗领域的一次技术突破,更标志着医院在复杂消化道疾病诊疗中,已具备精准化、微创化的核心优势。
健康科普
超声内镜素有“消化道内的超声眼”之称,它巧妙融合了内镜与超声技术的优势:既能借助内镜观察胃黏膜表面情况,又能通过超声探头深入探查消化道壁内及周围邻近脏器的病变。
目前,超声内镜技术已在消化道肿瘤分期、黏膜下肿瘤诊断、胰腺疾病诊疗、脓肿及囊肿引流等多个领域广泛应用,为众多患者免除了开腹手术的痛苦,真正实现了“以最小创伤获最佳疗效”的治疗目标。